12 年
手机商铺
公司新闻/正文
228 人阅读发布时间:2025-01-02 17:09
使用MatriMix进行癌症患者来源细胞的小鼠皮下移植实验

◆实验概要
在癌症的病态分析和治疗药物的开发中,通过移植癌症患者来源细胞至小鼠体内来制备PDX模型(Patient-Derived Xenograft)的研究备受瞩目。在该实验中,我们调查了MatriMix(511)能否用作小鼠移植的基质。将大肠癌患者细胞的肿瘤球与MatriMix(511)混合后,皮下移植至小鼠体内,观察是否有肿瘤形成,并进行组织学分析。
◆实验方法
1. 按照说明书上的步骤,混合MatriMix(511)的A、B、C液。
2. 在冰上使用肿瘤球培养用培养基将MatriMix(511)溶液稀释1.5倍。
3. 按照常规方法,回收3D培养制备的肿瘤球。
4. 每只小鼠使用100 µL MatriMix(511)溶液悬浮0.5×105cells的球体
5. 将悬浊了肿瘤球的MatriMix(511)溶液填充至FN注射器(27G)中,移植至小鼠皮下
6. 观察肿瘤随时间形成的过程
7. 固定回收的肿瘤,进行组织学分析。
◆实验结果
● 将癌症患者来源的肿瘤球移植至小鼠体内时,即使使用MatriMix(511)也能形成与EHS肿瘤提取物相同大小的肿瘤(红色箭头)(图1)。
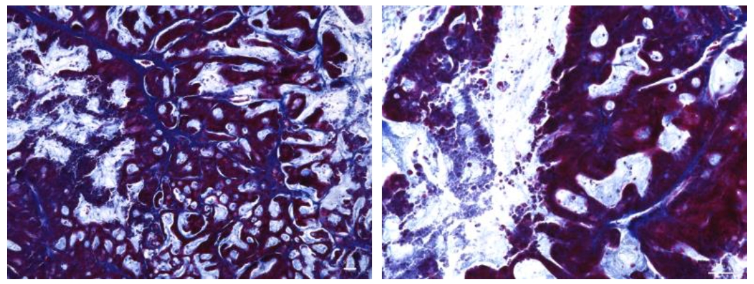
● 对使用MatriMix(511)形成的肿瘤切片进行Masson三色染色,观察到大量具有血管侵犯和核异型细胞(图2)。此外,使用各标志物的免疫荧
● 光染色显示,肿瘤内局部存在大肠癌细胞和血管内皮细胞(图3)

图1. 小鼠皮下移植实验
移植患者来源肿瘤球4周后的小鼠(上:MatriMix(511);下:EHS肿瘤提取物)

图2. 肿瘤切片的Masson三色染色
回收使用MatriMix(511)将患者来源肿瘤球移植至小鼠体内后形成的肿瘤,使用Masson三色染色法染色切片。
(左:低倍率放大图 ;右:高倍率放大图)

图3 肿瘤切片的免疫荧光染色
回收使用MatriMix(511)将患者来源肿瘤球移植至小鼠体内后形成的肿瘤,使用各标志物染色肿瘤切片
(左:Type lV Collagen,Type l Collagen,CEA);右:DAPI, αSMA, PECAM-1)
◆总结
上述结果表明,在将癌症患者来源肿瘤球移植至小鼠体内的实验中,MatriMix (511) 可有效用于肿瘤形成。今后,将继续评估其作为PDSX(Patient-Derived Spheroid Xenograft)模型的有效性。
点击此处查看相关产品页面:3D培养用基质胶 MatriMix系列
点击此处查看产品单页:MatriMix(511)