12 年
手机商铺
公司新闻/正文
1425 人阅读发布时间:2025-06-18 10:38
FUJIFILM Wako优选3D培养用基质胶助力类器官培养
![]()
2025年4月10日,美国食品药品监督管理局(FDA)宣布将逐步淘汰对单克隆抗体及其他药物的强制动物实验要求,转而采用类器官、器官芯片以及基于AI的毒性预测模型等更具人类相关性的方法。

信息来源:www.fda.gov/news-events/press-announcements/fda-announces-plan-phase-out-animal-testing-requirement-monoclonal-antibodies-and-other-drugs
类器官是一种通过3D培养技术实现的体外器官模型,能高度模拟人体器官的结构与功能,目前已被应用于毒性检测,药物筛选,疾病建模等多个新药研发的环节。
如今,类器官技术正在逐渐被更多的监管机构所认可:
● 2021年,中国药品评审中心(CDE)就已明确表示可采用基于细胞和组织的模型(如2D/3D组织模型、类器官和微流体模型等)为有效性和
● 安全性的评估提供有用的补充信息。
● 2022年,FDA首次批准了基于器官芯片数据的药物进入临床试验,并在《FDA现代化法案2.0》中不再强制要求动物实验。
● 2025版《中国药典》凡例新增的三十七条指出“凡是有准确的理化分析⽅法或体外⽣物学⽅法能取代动物试验进⾏药品质量检测或检定,应
● 尽量采⽤,以减少动物试验。”
而此次FDA发布的公告更意味着一个类器官时代即将到来。
类器官是一种基于3D培养的技术,而选择合适的基质胶是实现3D培养至关重要的一步。FUJIFILM Wako可提供多种用于3D培养的基质胶,满足各种3D培养的需求,且均由日本原厂生产,供应链完善,在当下复杂的国际形势下依旧可保持稳定供货。
基质胶功能应用对比一览表
|
功能应用 |
市售C品牌基质胶 |
MatriMix基质胶 |
Cellmatrix胶原蛋白 |
Mebiol Gel水凝胶 |
|
成分明确 |
× |
○ |
○ |
○ |
|
基质种类可选 |
× |
◎ |
○ |
× |
|
3D培养 |
○ |
○ |
○ |
○ |
|
凝胶强度可控 |
× |
◎ |
○ |
× |
|
透明度 |
○ |
○ |
○ |
× |
|
不含生长因子 |
× |
○ |
○ |
○ |
|
模拟生物体内环境,诱导组织形成 |
○(难以进行基质诱导) |
◎ |
○(难以进行基质诱导) |
× |
|
基质诱导癌细胞类器官 |
× |
○ |
× |
× |
|
诱导各器官类器官的细胞分化 |
○ |
○ |
× |
× |
◆新型3D培养基质——MatriMix
MatriMix是由胶原蛋白、层粘连蛋白E8片段和透明质酸组成的新型3D培养用基质。通过改变胶原蛋白和层粘连蛋白E8的类型、组合方式和浓度,提供适合各种细胞的微环境来促进组织形成。

MatriMix中含有的层粘连蛋白是与全长层粘连蛋白有同等的整合素结合活性的E8片段。
可提供以下层粘连蛋白E8和胶原蛋白
层粘连蛋白E8:111E8、221E8、332E8、411E8、511E8
胶原蛋白:Ⅰ型、Ⅲ型、Ⅳ型、Ⅴ型 ※可更换提取方法(对凝胶弹性有影响)
应用实例
各种器官的类器官形成

使用MatriMix对发育中的小鼠器官来源细胞进行3D培养,可观察到细胞聚集形成组织(培养第7天,使用不同标记物进行免疫染色)。
A. 肾小球 绿色:Podocalyxin(肾小球上皮细胞),红色:PECAM-1(血管)
B. 肠类器官 绿色:CDX2(成熟肠细胞),红色:Type IV collagen
C. 肝脏血管生成 红色:PECAM-1(血管)
D. 肝脏类器官 绿:CK19(胆管),红色:Albumin(肝实质)
人患者来源大肠癌类器官形成

将人患者来源大肠癌细胞在不同基质中3D培养8天。MatriMix中形成的类器官呈现Vimentin和CEA双阳性,可观察到具有侵袭转移能力的细胞群的形成(图A、B)(在基底 膜成分中培养的类器官呈现Vimentin阴性和CEA阳性(图C、D))。
◆细胞培养用胶原蛋白——Cellmatrix® 系列
|
|
凝胶速度快,高透明度的胶原蛋白! Cellmatrix® 是拥有 30 年以上历史的胶原蛋白研究试剂,其中 TypeⅠ-A 可快速凝胶化并制 备高透明度的凝胶,非常适合用于胶原蛋白凝胶培养。除此之外,通过 3D 细胞培养技术还可 实现在接近生物体内环境的条件下进行培养。 |
特点
三维细胞培养可观察到与普通单层培养不同的体内形态、功能表达 可维持之前单层细胞培养难以维持的原代培养细胞(特别是表皮细胞的增殖)
![]() 高透明度 |
经胶原蛋白凝胶包埋培养的小鼠乳腺癌细胞增殖形态 |
◆Mebiol® Gel 温敏性水凝胶
3毫秒即可从溶胶转化成凝胶状态的3D细胞支架!
Mebiol® Gel温敏性水凝胶可以跟随温度变化在溶胶-凝胶状态之间进行可逆性转换。冷却时,Mebiol® Gel为溶胶状态 (液体状),当温度升高时形成刚性水凝胶。利用这一特性,可轻松实现细胞操作。可向冷却的Mebiol® Gel中加入培养基来进行细胞培养,也可通过对培养瓶降温后离心收集 细胞。在凝胶状态时,Mebiol® Gel的高亲脂性为细胞增殖、细胞信号转导、气体质量交换以及细胞和组织对剪切力的防御等提供了非常 有效的生长环境。
应用实例
球状体形成
Mebiol® Gel可支持肿瘤细胞系和iPS细胞形成球体。

粘液表皮样癌(胆管癌)衍生细胞系在Mebiol® Gel中形成球状体
(数据来源: Dr. S. Kubota, Dept. of General Surgery, St. Marianna Uiversity School of Medicine)
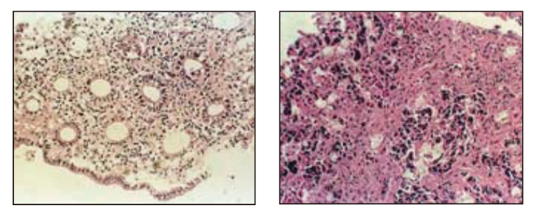
保持组织结构
Mebiol® Gel提供的微环境, 有利于长期维持组织结构的培养。

左图:正常结肠黏膜组织在Mebiol® Gel 中培养7天后。
右图:转移性肝癌组织在Mebiol® Gel 中培养 21 天后。
数据来源:Dr. S. Kubota, Dept. of General Surgery, St. Marianna University School of Medicine
◆产品列表
MatriMix
|
产品编号 |
产品名称 |
产品规格 |
|
381-19811 |
MatriMix (511) |
1 set |
Cellmatrix® 系列
|
产品编号 |
产品名称 |
产品规格 |
|
631-00651 |
Cellmatrix Type I -A (Collagen, Type I, 3 mg/mL, pH 3.0) 猪腱来源酸可溶性Type I-A骨胶原,高凝胶强度 (3 mg/mL) |
20 mL |
|
637-00653 |
100 mL |
|
|
638-00661 |
Cellmatrix Type I -P (Collagen, Type I, 3 mg/mL, pH 3.0) 猪腱来源酸可溶性Type I-P骨胶原,高凝胶强度 (3 mg/mL) |
20 mL |
|
634-00663 |
100 mL |
|
|
631-00771 |
Cellmatrix Type I -C(Collagen, Type I, 3 mg/mL, pH 3.0) 猪皮来源胃蛋白酶可溶Type I-C,低黏度 (3 mg/mL) |
20 mL |
|
637-00773 |
100 mL |
Mebiol ® Gel
|
产品编号 |
产品名称 |
产品规格 |
|
MBG-PMW20-1001 |
Mebiol ® Gel 温敏性水凝胶 |
1×10 mL |
|
MBG-PMW20-1005 |
5×10 mL |
|
|
MBG-PMW20-5001 |
1×50 mL |
|
|
MBG-PMW20-5005 |
5×50 mL |
点击此处查看相关产品页面:使用MatriMix进行癌症患者来源细胞的小鼠皮下移植实验
点击此处查看相关产品页面:Cellmatrix® 系列产品
点击此处查看相关产品页面:Mebiol® Gel